画像診断支援ソリューション「MaestroAI®」のグローバル展開を目指しスペインで実証完了 ~海外データを用いた実証実験で多国籍のデータへの適用性拡張に成功~
2022年9月29日
株式会社NTTデータ
本実証では、スペインにおける患者データを用いた、MaestroAI®ソリューションの再チューニングおよび性能検証をいました。その結果、既存の学習データセット(アメリカの患者データ)とは異なる国のデータに対しても同程度の高い検出性能を発揮できることを確認できました。
NTTデータは今回の実証で確認した高い適用性を強みに、グローバルで医療画像の診断業務をサポートしていきます。
背景
医療画像の診断においては、多種多様な病気の可能性を判断することが求められます。そのため、医師の幅広い知識のみならず、長年培った経験等が重要とされています。特に医療画像の診断業務を主に行っている放射線科医が十分な知識や経験を身につけるには時間がかかるといわれています。
こうしたなか、医療画像撮影機器(モダリティ)は進化し続けており、診断業務で求められる読影枚数は増加しています。世界的な専門医不足も背景に、AI技術による医師の診断業務効率化が期待されています。
MaestroAI®の概要
深層学習ベースのアルゴリズムであり、対象医療画像内の異常所見を検出するNTTデータの診断業務支援AIソリューションです。
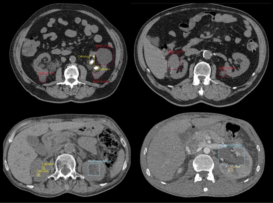
世の中の多くのAI診断支援製品は、重篤な疾患の見逃し防止に焦点を置き、1つの疾患の診断を行います。一方MaestroAI®は、1つの臓器において正常とは異なる状態にある箇所(異常所見)を網羅的に検出することできます。これにより、より広範囲に医師の診断を支援し、医師不足解消を目指すソリューションです。

図:AIによる複数異常の検出例
グローバル展開のための実証内容
AIを医療分野等で活用する場合に度々指摘されるのが倫理的問題です。AIによる判断結果は、客観的かつ平等なものであると思われがちですが、実際は学習に使用されたデータ等に偏りがあった場合、それがバイアスとなる可能性があります。AIを実業務で活用することを想定すると、こうしたバイアスが発生しないよう注意して設計・開発・検証する必要があります。NTTデータは、グローバルにソリューションを展開する上で、国によって異常の検出精度が低くなるようなことがないよう、各国のデータへ適切にAIを調整して提供することを重要と考えています。
今回の実証では、アメリカの患者データで開発・検証済みのMaestroAI®に、スペインの患者データを用いてチューニングし、その検出性能を検証しました。
なお、実証はNTTデータスペインおよび現地病院であるPuigvert病院の協力のもと実施しました。
表:実証概要
| 目的 | MaestroAI®のスペインの患者データへの適用における高い検出性能実現 |
|---|---|
| 期間 | 2021年1月から2022年7月 |
| 場所 | Fundació Puigvert病院が位置するスペインのカタルーニャ州、バルセロナ |
| 関係者・役割 | 株式会社NTTデータ:ソリューション・技術ノウハウ提供 NTT DATA Spain, S.L.U.:現地サポート Fundació Puigvert病院:データ提供、専門医からの支援 |
| 対象データ | スペイン患者の腹部CT画像データ(2,642件) |
| 実証結果 | アメリカの患者データで学習したMaestroAI®ソリューションを用いてスペインの患者データを解析した結果、F1スコアが左腎臓91.1%、右腎臓90.1%となった。(アメリカの患者データの場合、F1スコア結果が左腎臓93.3%、右腎臓91.5%であることから、頑健性が示されたといえる) さらに、既存ソリューションをチューニングし再度スペインの患者データを解析した結果、性能が左腎臓+1.6、右腎臓+0.3ポイント向上した。 |
今回の実証では、MaestroAI®腎臓モデルをスペインの患者データセットでも事前に行われたアメリカの患者データでの検証と同じレベルのパフォーマンスを発揮するための、再学習における方法論の検証を行い、複数ヵ国のデータに対して、堅牢で信頼性の高いAIとして提供するための仕組みを確立しました。今後新たな国のデータセットを適用する場合は、最小限のコストでAIモデルを調整することで、同様にAIモデルの性能を最大限に引き出せると考えています。
今後について
本実証は、7月に開催されたスペインのCIDAI注2イベントでも取り上げられる等、注目されています。
NTTデータはMaestroAI®ソリューションを国内外に積極的に提供することを目指し、グローバル適用範囲を拡大し、対象国を欧州やAPAC諸国等、NTTデータが拠点を構えている国を中心に展開をはかります。
注釈
- 注1Fundació Puigvert病院:泌尿器科、腎臓科、アンドロロジー分野の専門医療を提供するヨーロッパ有数のセンターです。
https://www.fundacio-puigvert.es/es/node/642 - 注2Centre of Innovation for Data tech and Artificial Intelligence (CIDAI) : CIDAIは、応用人工知能におけるプロジェクトと革新的なソリューションの移転を促進する、カタルーニャ州のAIデジタルハブ・イノベーションです。
https://cidai.eu/en/
- 「MaestroAI」(読み、マエストロ エーアイ)は、日本国内における株式会社NTTデータの登録商標です。
- その他の商品名、会社名、団体名は、各社の商標または登録商標です。
本件に関するお問い合わせ先
製品に関するお問い合わせ先
株式会社NTTデータ
技術開発本部
イノベーションセンタ
E-mail:ic_pr@kits.nttdata.co.jp